Nội dung bài viết

Phẫu thuật ghép giác mạc và những điều cần biết

Phẫu thuật ghép giác mạc là phương pháp duy nhất để giảm tỷ lệ mù lòa do bệnh lý giác mạc. Phẫu thuật ghép giác mạc là phương pháp thay thế một phần hoặc toàn bộ chiều dày của giác mạc bị mờ đục bằng giác mạc lành, mang lại độ trong suốt của giác mạc, nhằm mục đích tăng thị lực của mắt bị bệnh.

Giác mạc là gì?

cau-tao-giac-mac

Giác mạc được ví như tấm kính trong suốt nằm ở phía trước nhãn cầu (là phần lòng đen của mắt), cho phép ánh sáng đi qua, giúp cho tế bào thị giác nằm ở võng mạc nhận biết được hình ảnh. Từ đó, hình ảnh được truyền lên não.

Con người có thể nhận thức được vật thể và thế giới xung quanh. Các bệnh lý của giác mạc dẫn tới giác mạc mất đi độ trong suốt, ánh sáng không thể xuyên qua (giống như tấm kính bị mờ đục) và khi đó, khả năng nhìn thấy của người bệnh bị giảm.

Tại sao phải ghép giác mạc

Mắt là một tổ hợp gồm nhiều “lớp kính” trong suốt. Trong đó giác mạc là “lớp kính” nằm ở phía trước của nhãn cầu. Chính vì vậy, trong sinh hoạt thường ngày, giác mạc chịu nhiều tác động tiêu cực từ môi trường sống.

Khi gặp các triệu chứng mắt đau nhức, nổi cộm, sợ ánh sáng, mắt đỏ nhiều quanh tròng đen, xuất hiện đốm trắng, mắt nhìn mờ… thì nên gặp bác sĩ vì rất có thể, giác mạc của bạn đã bị tổn thương hoặc bị bệnh.

Tùy vào tình tình bệnh cụ thể để các bác sĩ đưa ra phác đồ điều trị phù hợp, điều trị bằng thuốc hoặc phẫu thuật. Phẫu thuật ghép giác mạc được tiến hành khi mắc các bệnh:

  • Giác mạc hình chóp (bề mặt giác mạc trở thành hình nón, gây mờ mắt)
  • Bệnh loạn dưỡng giác mạc bẩm sinh di truyền
  • Giác mạc bị thủng hoặc dọa thủng
  • Sẹo giác mạc (do nhiễm trùng hoặc chấn thương)
  • Viêm, loét giác mạc
  • Các biến chứng về giác mạc sau phẫu thuật

Tỷ lệ mù lòa do bệnh giác mạc và việc hiến mô giác mạc     

Theo Tổ chức Y tế Thế giới, năm 2010, tỷ lệ bệnh lý này chiếm khoảng 7% số lượng người mù trên toàn thế giới, là nguyên nhân đứng hàng thứ 3 sau bệnh đục thủy tinh thể và bệnh glocom. Bệnh lý giác mạc có thể xuất hiện ở mọi lứa tuổi, đặc biệt trẻ em và những người đang trong độ tuổi lao động.

Tuy nhiên, mô giác mạc cần cho phẫu thuật ghép giác mạc còn thiếu do quan niệm hiến mô tạng của người mất và gia đình còn hạn chế tại nhiều quốc gia trên thế giới. Tại Việt nam, trong nhiều thập kỉ vừa qua, số lượng hiến tặng giác mạc chỉ đáp ứng được số lượng rất nhỏ so với nhu cầu thực tế, nên hàng trăm nghìn người đang phải chấp nhận sống trong cảnh mù lòa.

ghép giác mạc

Năm 2006, Luật hiến ghép mô và bộ phận cơ thể người, hiến và lấy xác đã chính thức được Quốc hội thông qua, là một trong những điều kiện quan trọng để hình thành và xây dựng Ngân hàng Mắt. Ngân Hàng Mắt có chức năng tuyên truyền, vận động nhân dân hiến tặng giác mạc. Ngoài ra, ngân hàng còn là nơi thu nhận, đánh giá, bảo quản, điều phối giác mạc.

Năm 2012, tại Việt nam, Ngân Hàng Giác Mạc Sài gòn thuộc hệ thống Bệnh viện Mắt Sài gòn, là một trong hai ngân hàng giác mạc đã hoạt động. Trong những năm vừa qua, Ngân Hàng Giác mạc Sài gòn đã liên kết đặt giác mạc có chất lượng quốc tế và nhận được sự ủng hộ, giúp đỡ từ các ngân hàng giác mạc SightLife của Mỹ.

Mô giác mạc trước khi cấy ghép cho người bệnh đã được xét nghiệm sàng lọc theo tiêu chuẩn y tế thế giới, chỉ những giác mạc nào đủ tiêu chuẩn mới đưa vào thay thế giác mạc bệnh.

Phẫu thuật ghép giác mạc là gì?

Phẫu thuật ghép giác mạc là phương pháp duy nhất để giảm tỷ lệ mù lòa do bệnh lý giác mạc. Phẫu thuật ghép giác mạc là phương pháp thay thế một phần hoặc toàn bộ chiều dày của giác mạc bị mờ đục bằng giác mạc lành, mang lại độ trong suốt của giác mạc, nhằm mục đích tăng thị lực của mắt bị bệnh.

Bệnh giác mạc thường kèm theo nhiều bệnh lý khác của nhãn cầu gây hậu quả giảm sụt thị lực ở nhiều mức độ khác nhau, những bệnh lí kết hợp như bỏng mắt, khô mắt, bệnh glocom là các yếu tố gây ảnh hưởng tới tiên lượng của phẫu thuật. Ngoài ra, các bệnh toàn thân như đái tháo đường, tăng huyết áp làm tăng tỷ lệ viêm, xuất huyết mắt sau phẫu thuật, do đó có thể làm giảm tỷ lệ thành công của mảnh ghép.

ghép giác mạc

Tùy theo bệnh lý của giác mạc, ghép giác mạc được chia thành những chỉ định như sau: Ghép giác mạc với mục đích quang học. Ghép điều trị để điều trị những bệnh lý của giác mạc như viêm loét giác mạc, kiến tạo bề mặt nhãn cầu hay bảo tồn nhãn cầu thường được chỉ định trong trường hợp bỏng, thủng giác mạc.

Ghép giác mạc mục đích tăng thẩm mỹ, được chỉ định nhằm thay thế sẹo trắng của giác mạc giúp con mắt nhìn đẹp hơn ở những mắt đã mất chức năng. Cấy ghép giác mạc sẽ thay thế toàn bộ chiều dày hoặc một phần chiều dày của giác mạc bị tổn thương bằng mô giác mạc khỏe mạnh từ người hiến tặng.

Thành công của phẫu thuật phụ thuộc vào nhiều yếu tố như bệnh lý tại mắt, bên cạnh bệnh giác mạc loại nào, thì vai trò quan trọng màng nước mắt, bờ mi, mi mắt có toàn vẹn không là yếu tố tiên lượng trước phẫu thuật. Yếu tố tuổi, công việc của người bệnh cũng cần được phân tích và giải thích trước phẫu thuật cho người bệnh, cũng như gia đình.

Nơi ở của người bệnh, phương tiện đi lại giữa nơi ở và cơ sở y tế có chuyên khoa mắt cần được ghi nhận, vì sau phẫu thuật việc tuân thủ chế độ điều trị, khám lại đóng vai trò tiên quyết trong việc duy trì sự toàn vẹn của mảnh ghép giác mạc.

Các phương pháp cấy ghép giác mạc

Cấy ghép giác mạc toàn phần

ghép giác mạc
Ghép giác mạc toàn phần

Toàn bộ chiều dày giác mạc của người bệnh cần phải thay thế nếu lớp trước và sau của giác mạc bị bệnh. Phương pháp này được gọi là ghép giác mạc toàn bộ chiều dày, hay còn gọi ghép giác mạc xuyên. Toàn bộ giác mạc bị tổn thương sẽ được loại bỏ, và thay thế bằng giác mạc của người hiến tặng.

Cấy ghép giác mạc toàn bộ chiều dày, có thời gian hồi phục dài hơn, nguy cơ thải loại mảnh ghép cao hơn so với các loại cấy ghép giác mạc khác.

Ghép giác mạc lớp

ghép giác mạc
Ghép giác mạc trước và ghép giác mạc nội mô

Ghép giác mạc lớp được tiến hành khi giác mạc bị bệnh ở lớp trước (lớp nhu mô) hoặc lớp sau (lớp nằm trong cùng hay còn gọi là lớp tế bào nội mô). Phương pháp ghép lớp trước hoặc lớp sau là thay thế một phần của chiều dày giác mạc. Nên việc tăng thị lực sẽ nhanh hơn, thời gian theo dõi ngắn hơn và đặc biệt tỷ lệ thải loại mảnh ghép sẽ giảm hơn.

Phẫu thuật ghép giác mạc và những điều cần lưu ý

Ghép giác mạc là phẫu thuật mang lại ánh sáng cho người bị mù do bệnh lí giác mạc. Tuy nhiên, người bệnh sau khi được ghép giác mạc cần lưu ý cách chăm sóc mắt trước và sau khi ghép để kết quả phẫu thuật thành công.

Trước khi quyết định phẫu thuật

Trước khi quyết định phẫu thuật ghép giác mạc, người bệnh cần được:

  • Khám mắt toàn diện: đánh giá chức năng của mắt; phát hiện bệnh lí phối hợp.
  • Giải thích về tình trạng mắt hiện tại. Đặc biệt, nếu mắt đang bị viêm hoặc bị nhiễm trùng thì mắt cần được điều trị ổn định, sau đó phẫu thuật sẽ được tiến hành
  • Giải thích về kĩ thuật ghép giác mạc chỉ định cho người bệnh và các nguy cơ biến chứng trong và sau phẫu thuật
  • Giải thích về nguy cơ thải loại mảnh ghép và phương án điều trị sau phẫu thuật, phòng chống thải loại mảnh ghép
  • Thông báo về chi phí của phẫu thuật và điều trị sau phẫu thuật. Lưu ý: sau phẫu thuật ghép giác mạc, người bệnh cần sử dụng thuốc nhỏ mắt để phòng chống thải loại mảnh ghép và dinh dưỡng mảnh ghép trong thời gian dài

Những ngày trước khi phẫu thuật tiến hành

  • Người bệnh vẫn tiếp tục các thuốc điều trị bệnh tại mắt và bệnh toàn thân như tăng huyết áp, đái tháo đường
  • Tuân thủ hướng dẫn của bác sĩ về chế độ ăn uống, nghỉ ngơi, tránh luyện tập thể dục, thể thao, gắng sức
  • Vệ sinh thân thể, đặc biệt vùng đầu mặt cổ. Cần gội đầu, rửa mặt sạch, không trang điểm hay dùng các loại bôi trên da mặt
  • Sắp xếp người nhà đi cùng và chăm sóc sau phẫu thuật

Ngày thực hiện phẫu thuật

Thời gian tiến hành phẫu thuật khoảng một giờ. Thời gian nằm trên bàn phẫu thuật khoảng 2 tiếng đồng hồ.

Người bệnh có thể được dùng thuốc an thần chống lo âu và gây tê tại mắt hoặc được gây mê, tùy theo chỉ định của bác sĩ.

Trong quá trình phẫu thuật bệnh nhân cần nằm yên, thư giãn, thở nhẹ nhàng; giữ đầu cố định; không ho hoặc nín thở.

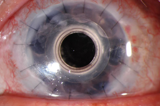
Giác mạc bệnh lý được loại bỏ và được thay thế bằng phần giác mạc lành của người hiến,mảnh ghép giác mạc được khâu cố định bằng các mũi chỉ nhỏ nếu là ghép giác mạc toàn bộ chiều dày hoặc ghép giác mạc lớp trước.

Kết thúc phẫu thuật, người bệnh sẽ băng mắt một ngày, và khám lại, bỏ băng vào ngày hôm sau. Những ngày sau đó không cần băng mắt, người bệnh sẽ nhỏ thuốc điều trị theo đơn của bác sĩ và sử dụng kính bảo về mắt khi đi ra ngoài trời.

Chăm sóc mắt sau ghép giác mạc

ghep-giac-mac-4

Sau phẫu thuật ghép giác mạc, khoảng 3 tháng đến 6 tháng đầu tiên cần lưu ý tăng cường nhỏ nước mắt nhân tạo, tăng cường nhắm mắt, tránh gió bụi để lớp biểu mô của mảnh ghép nhanh chóng hàn gắn, hòa nhập với biểu mô xung quanh.

Đặc biệt, phòng tránh chấn thương vùng đầu mặt cổ có thể gây đứt chỉ, không tập thở gây ảnh hưởng tới sự sống còn của mảnh ghép. Thời gian tiếp theo, luôn tuân thủ chế độ điều trị và khám lại định kì để phòng ngừa nguy cơ thải loại mảnh ghép.

Người bệnh sau khi được ghép giác mạc cần lưu ý và nhận biết dấu hiệu sớm của hiện tượng thải loại mảnh ghép: nhìn mờ, đỏ mắt, cộm và chảy nước mắt. Khi có các dấu hiệu nêu trên người bệnh cần đến khám ngay để được điều trị kịp thời, độ trong của mảnh ghép sẽ phục hồi. Nếu như không điều trị kịp thời mảnh ghép sẽ bị mờ đục và có thể phải ghép lại lần 2.

Người bệnh cần đặc biệt lưu ý

Hãy đi khám ngay khi gặp các triệu chứng:

  • Giảm thị lực
  • Đau mắt
  • Đỏ mắt
  • Chói mắt

Chăm sóc mắt sau phẫu thuật ghép giác mạc theo hướng dẫn của bác sĩ

  • Sử dụng thuốc uống, thuốc nhỏ mắt theo đơn
  • Mang kính bảo vệ mắt khi đi ra ngoài
  • Không dụi mắt. Tránh sang chấn đụng dập vào mắt.
  • Tránh bụi, nước bẩn hoặc xà phòng bắn vào mắt
  • Sang chấn vùng đầu, mặt, cổ, tránh chỗ đông người
  • Hạn chế cúi và nâng các vật nặng hoặc tập thể dục, tập thở, tập khí công hay bơi trong 6 tháng đầu sau khi phẫu thuật.
  • Tuân thủ lịch hẹn khám định kì của bác sĩ

Những rủi ro có thể gặp phải trong quá trình thực hiện phẫu thuật ghép giác mạc

  • Chảy máu
  • Nhiễm trùng
  • Tăng áp lực trong nhãn cầu

Nguy cơ thải loại mảnh ghép

          Mô giác mạc là mô không có mạch máu, cấu tạo đặc biệt bởi các bó sợi collagen nên có tính chất trong suốt, và nhờ hai đặc tính này nên tỷ lệ thành công của phẫu thuật ghép giác mạc cao nhất so với phẫu thuật ghép mô tạng khác trong cơ thể.

          Tùy thuộc vào bệnh lí trước khi ghép của mắt và loại phẫu thuật ghép, tỷ lệ thành công của mảnh ghép sẽ khác nhau, ví dụ tỷ lệ mảnh ghép trong là 80% đến 90% sau 2 năm phẫu thuật ghép do sẹo giác mạc, nhưng tỷ lệ mảnh ghép trong là 20% đến 30% sau 1 năm phẫu thuật ghép do viêm loét giác mạc.      

Trong nhiều trường hợp, thuốc nhỏ mắt có chứa steroid có thể kiểm soát sự thải ghép giác mạc. Nguy cơ bị từ chối thải ghép giác mạc giảm theo thời gian, nhưng nó không hoàn toàn biến mất.

Sau phẫu thuật ghép giác mạc, tầm nhìn của người bệnh sẽ trở nên tồi tệ trong vài tháng khi mắt đang trong quá trình điều chỉnh. Bác sĩ sẽ loại bỏ các sợi chỉ được sử dụng trong quá trình phẫu thuật sau khi chữa bệnh hoàn thành. Người bệnh luôn cần có biện pháp phòng ngừa đặc biệt để tránh bị thương mắt trong khi tập thể dục, thể thao và nên đi khám mắt thường xuyên đúng chỉ định của bác sĩ.

Bệnh viện Mắt Sài Gòn

Ts.Bs Vũ Tuệ Khanh